Skip to main navigation Skip to main content
  • KAPS
  • E-Submission

APS : Advances in Pediatric Surgery

OPEN ACCESS
ABOUT
BROWSE ARTICLES
EDITORIAL POLICY
FOR CONTRIBUTORS
Case Report

Esophageal Atresia with Bronchogenic Cyst

Journal of the Korean Association of Pediatric Surgeons 2017;23(1):5-8.
Published online: June 26, 2017

Department of Pediatric Surgery, Seoul National University Children's Hospital, Seoul, Korea.

Correspondence: Hyun-Young Kim, Department of Pediatric Surgery, Seoul National University Children's Hospital, 101 Daehak-ro, Jongno-gu, Seoul 03080, Korea. Tel: +82-2-2072-2478, Fax: +82-2-747-5130, spkhy02@snu.ac.kr
• Received: July 21, 2016   • Revised: January 9, 2017   • Accepted: May 4, 2017

Copyright © 2017 Korean Association of Pediatric Surgeons

This is an Open Access article distributed under the terms of the Creative Commons Attribution Non-Commercial License (https://creativecommons.org/licenses/by-nc/4.0) which permits unrestricted non-commercial use, distribution, and reproduction in any medium, provided the original work is properly cited.

  • 205 Views
  • 0 Download
  • 1 Crossref
prev next
  • A baby was diagnosed with esophageal atresia (EA) with tracheoesophageal fistula (TEF) on the next day after birth, and end-to-end anastomosis of esophagus with TEF ligation was performed. The distance between proximal and distal esophageal pouch was checked as 3 vertebral body lengths and a 1 cm-sized bronchogenic cyst (BC) was identified near carina on the right side, just below the proximal esophageal pouch. This case report described the baby who have a BC was located between the both esophageal pouch and a longer esophageal gap than usual EA with distal TEF.

No potential conflict of interest relevant to this article was reported.

  • 1. Goyal A, Jones MO, Couriel JM, Losty PD. Oesophageal atresia and tracheo-oesophageal fistula. Arch Dis Child Fetal Neonatal Ed 2006;91:F381-F384.
  • 2. Spitz L. Esophageal atresia: past, present, and future. J Pediatr Surg 1996;31:19-25.
  • 3. Maier HC. Bronchiogenic cysts of the mediastinum. Ann Surg 1948;127:476-502.
  • 4. Heithoff KB, Sane SM, Williams HJ, Jarvis CJ, Carter J, Kane P, et al. Bronchopulmonary foregut malformations. A unifying etiological concept. AJR Am J Roentgenol 1976;126:46-55.
  • 5. Newman B. Congenital bronchopulmonary foregut malformations: concepts and controversies. Pediatr Radiol 2006;36:773-791.
  • 6. Chang EY, Chang HK, Han SJ, Choi SH, Hwang EH, Oh JT. Clinical characteristics and treatment of esophageal atresia: a single institutional experience. J Korean Surg Soc 2012;83:43-49.
  • 7. Smith N. Oesophageal atresia and tracheo-oesophageal fistula. Early Hum Dev 2014;90:947-950.
  • 8. Shamji FM, Sachs HJ, Perkins DG. Cystic disease of the lungs. Surg Clin North Am 1988;68:581-620.
  • 9. Spitz L, Ruangtrakool R. Esophageal substitution. Semin Pediatr Surg 1998;7:130-133.
  • 10. Nobuhara KK, Gorski YC, La Quaglia MP, Shamberger RC. Bronchogenic cysts and esophageal duplications: common origins and treatment. J Pediatr Surg 1997;32:1408-1413.
  • 11. Foker JE, Linden BC, Boyle EM Jr, Marquardt C. Development of a true primary repair for the full spectrum of esophageal atresia. Ann Surg 1997;226:533-541 discussion 541-3.
  • 12. Engum SA, Grosfeld JL, West KW, Rescorla FJ, Scherer LR 3rd. Analysis of morbidity and mortality in 227 cases of esophageal atresia and/or tracheoesophageal fistula over two decades. Arch Surg 1995;130:502-508 discussion 508-9.
  • 13. Dessanti A, Caccia G, Iannuccelli M, Dettori G. Use of “Gore-Tex surgical membrane” to minimize surgical adhesions in multistaged extrathoracic esophageal elongation for esophageal atresia. J Pediatr Surg 2000;35:610-612.
  • 14. Holder TM, Ashcraft KW, Sharp RJ, Amoury RA. Care of infants with esophageal atresia, tracheoesophageal fistula, and associated anomalies. J Thorac Cardiovasc Surg 1987;94:828-835.
  • 15. Louhimo I, Lindahl H. Esophageal atresia: primary results of 500 consecutively treated patients. J Pediatr Surg 1983;18:217-229.
  • 16. Ein SH, Shandling B, Heiss K. Pure esophageal atresia: outlook in the 1990s. J Pediatr Surg 1993;28:1147-1150.
  • 17. Brown AK, Tam PK. Measurement of gap length in esophageal atresia: a simple predictor of outcome. J Am Coll Surg 1996;182:41-45.
  • 18. Narasimharao KL, Mitra SK. Esophageal atresia associated with esophageal duplication cyst. J Pediatr Surg 1987;22:984-985.
  • 19. Hemalatha V, Batcup G, Brereton RJ, Spitz L. Intrathoracic foregut cyst (foregut duplication) associated with esophageal atresia. J Pediatr Surg 1980;15:178-180.
  • 20. McNally J, Charles AK, Spicer RD, Grier D. Mixed foregut cyst associated with esophageal atresia. J Pediatr Surg 2001;36:939-940.
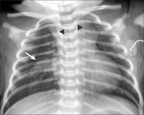
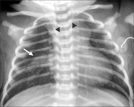
Fig. 1

Infantogram shows coiling of the feeding tube, suggesting esophageal atresia (black arrowheads). Patchy opacity in the right lower lung is observed (white arrow).

jkaps-23-5-g001.jpg
Fig. 2

(A) Operative findings that a bronchogenic cyst (white arrowheads) at the right paratracheal area and distal esophageal fistula (white arrow) were identified. (B) Mimetic diagram of operative findings.

jkaps-23-5-g002.jpg
Fig. 3

Pathologic findings of cystic mass were consistent with bronchogenic cyst (H&E). (A, B) Histological photographs show fibromuscular walls (A: ×10, B: ×40). (C) The cyst wall is lined by respiratory epithelium (ciliated psuedostratified columnar epithelium) (×100). (D) The cyst wall contains seromucinous bronchial glands (×100).

jkaps-23-5-g003.jpg

Download Citation

Download a citation file in RIS format that can be imported by all major citation management software, including EndNote, ProCite, RefWorks, and Reference Manager.

Format:

Include:

Esophageal Atresia with Bronchogenic Cyst
J Korean Assoc Pediatr Surg. 2017;23(1):5-8.   Published online June 26, 2017
Download Citation

Download a citation file in RIS format that can be imported by all major citation management software, including EndNote, ProCite, RefWorks, and Reference Manager.

Format:
Include:
Esophageal Atresia with Bronchogenic Cyst
J Korean Assoc Pediatr Surg. 2017;23(1):5-8.   Published online June 26, 2017
Close

Figure

  • 0
  • 1
  • 2
Esophageal Atresia with Bronchogenic Cyst
Image Image Image
Fig. 1 Infantogram shows coiling of the feeding tube, suggesting esophageal atresia (black arrowheads). Patchy opacity in the right lower lung is observed (white arrow).
Fig. 2 (A) Operative findings that a bronchogenic cyst (white arrowheads) at the right paratracheal area and distal esophageal fistula (white arrow) were identified. (B) Mimetic diagram of operative findings.
Fig. 3 Pathologic findings of cystic mass were consistent with bronchogenic cyst (H&E). (A, B) Histological photographs show fibromuscular walls (A: ×10, B: ×40). (C) The cyst wall is lined by respiratory epithelium (ciliated psuedostratified columnar epithelium) (×100). (D) The cyst wall contains seromucinous bronchial glands (×100).
Esophageal Atresia with Bronchogenic Cyst