Skip to main navigation Skip to main content
  • KAPS
  • E-Submission

APS : Advances in Pediatric Surgery

OPEN ACCESS
ABOUT
BROWSE ARTICLES
EDITORIAL POLICY
FOR CONTRIBUTORS

Articles

Case Report

Case Report of Todani Type II Choledochal Cyst in a 13-Month-Old Female Patient

Kim, Jeesun , Ko, Dayoung , Han, Ji-Won , Kim, Hyun-Young
Adv Pediatr Surg 2020;26(1):33-37.
Department of Pediatric Surgery, Seoul National University Children's Hospital, Seoul, Korea
  • 327 Views
  • 2 Download
  • 0 Crossref
  • 0 Scopus
prev

Among the 5 different Todani subtypes of choledochal cyst, type II choledochal cyst is known to be the rarest. A 13-month-old female who had underlying congenital portal vein stenosis and portal hypertension presented sudden hematemesis and abnormality in liver function test. Upon evaluation with a liver ultrasonography, a 1.7 cm-sized cystic lesion near the common bile duct and duodenum was incidentally discovered, and further imaging with magnetic resonance cholangiopancreatography, upper gastrointestinal series, computed tomography, and percutaneous transhepatic cholangiography revealed type II choledochal cyst. The patient underwent choledochal cyst excision with Roux-en-Y hepaticojejunostomy and had no acute postoperative complications.


Adv Pediatr Surg. 2020 Jun;26(1):33-37. English.
Published online Jun 15, 2020.
Copyright © 2020 Korean Association of Pediatric Surgeons
Case Report

Case Report of Todani Type II Choledochal Cyst in a 13-Month-Old Female Patient

Jeesun Kim, Dayoung Ko, Ji-Won Han and Hyun-Young Kim
    • Department of Pediatric Surgery, Seoul National University Children's Hospital, Seoul, Korea.
Received September 25, 2019; Revised January 07, 2020; Accepted January 19, 2020.

This is an Open Access article distributed under the terms of the Creative Commons Attribution Non-Commercial License (https://creativecommons.org/licenses/by-nc/4.0) which permits unrestricted non-commercial use, distribution, and reproduction in any medium, provided the original work is properly cited.

Abstract

Among the 5 different Todani subtypes of choledochal cyst, type II choledochal cyst is known to be the rarest. A 13-month-old female who had underlying congenital portal vein stenosis and portal hypertension presented sudden hematemesis and abnormality in liver function test. Upon evaluation with a liver ultrasonography, a 1.7 cm-sized cystic lesion near the common bile duct and duodenum was incidentally discovered, and further imaging with magnetic resonance cholangiopancreatography, upper gastrointestinal series, computed tomography, and percutaneous transhepatic cholangiography revealed type II choledochal cyst. The patient underwent choledochal cyst excision with Roux-en-Y hepaticojejunostomy and had no acute postoperative complications.

Keywords
Choledochal cyst; Common bile duct diseases

INTRODUCTION

Choledochal cyst is a rare congenital disorder with an estimated prevalence of 1 in 13,000 to 1–2 million live births [1]. It is more commonly found in Asia and the female:male ratio is known to be 3:1 to 4:1 [2]. In 1959, Alonso-Lej et al. [3] first proposed a classification system of choledochal cysts, and in 1977, Todani et al. [4] suggested a modified system which has gained wide acceptance up to this day. According to the Todani classification, type I, cystic dilatation of the common bile duct (CBD), and type IVa, the combination of extrahepatic and intrahepatic cysts, are most frequently encountered, whereas type II, single bile duct diverticulum, is rarest, constituting approximately 0.8%–5% of all choledochal cyst cases [5]. In this case report, we describe a 13-month-old female who was diagnosed with Todani type II choledochal cyst.

CASE REPORT

A 13-month-old female from the United Arab Emirates was referred to the Pediatric Surgery Department of Seoul National University Children's Hospital (SNUCH) for surgical management of Todani type II choledochal cyst. The patient had underlying idiopathic portal vein stenosis, portal hypertension, chronic lung disease, neonatal sepsis, and alpha thalassemia. At 11 months, the patient was admitted to Dubai Hospital due to sudden hematemesis, and her initial lab results revealed hemoglobin 8.2 g/dL, white blood cell 16,300/µL, platelet 164,000/µL, total bilirubin 0.5 mg/dL, albumin 3.0 g/dL, gamma glutamyl transferase 77 IU/L, alkaline phosphatase 344 IU/L, aspartate transaminase/alanine transaminase 193/305 IU/L. An esophagogastroduodenoscopy showed grade 3 esophageal varices at the lower esophagus, and the patient underwent esophageal band ligation twice. Upon liver ultrasonography, an irregular cystic lesion at the porta hepatis was incidentally found. A magnetic resonance cholangiopancreatography (MRCP) showed Todani type II choledochal cyst, and the patient was referred to SNUCH for surgery.

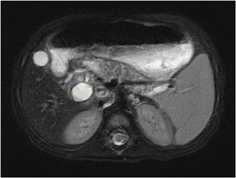
After admission, a follow-up MRCP (Fig. 1) and ultrasonography (Fig. 2) revealed a 1.7 cm-sized cystic lesion around the CBD and duodenum showing no definite communication with the CBD, indicative of a duodenal duplication cyst causing biliary obstruction or an unusual choledochal cyst or choledochocele. To evaluate the relationship between the cystic lesion and the duodenum, a upper gastrointestinal series and computed tomography were taken and showed mild narrowing at the proximal duodenum with no evidence of communication between the cyst and the duodenum. However, the structural continuity between the cyst and the biliary tree still remained unclear, so a percutaneous transhepatic cholangiography (Fig. 3) was performed and revealed a cystic lesion located at the confluence level between the common hepatic duct (CHD) and cystic duct (CD) with possible communication with the CD, highly suggestive of Todani type II choledochal cyst.

Fig. 1
Magnetic resonance cholangiopancreatography showing 1.7 cm-sized cystic lesion.

Fig. 2
Ultrasonography showing 1.7 cm-sized cystic lesion.

Fig. 3
Percutaneous transhepatic cholangiography showing 1.7 cm-sized cystic lesion.

The patient received laparoscopic choledochal cyst excision and Roux-en-Y hepaticojejunostomy. Intraoperatively, the cystic lesion was identified to be a diverticulum emerging from the CD, closely adjacent to the lateral side of the duodenum 1st–2nd portions (Fig. 4). There was major difficulty dissecting the CHD due to severe inflammation around the cyst, and conversion to open surgery was performed. The pathology report identified the excised cyst as a benign cystic lesion of bile duct origin with chronic active inflammation. The patient recovered well and was discharged 3 weeks after surgery without acute complications. She visited the outpatient clinic 1 week after discharge, and there were no significant abnormalities observed.

Fig. 4
Intraoperative laparoscopic view of type II choledochal cyst. The cystic lesion was identified to be a diverticulum emerging from the cystic duct.
GB: gallbladder.

DISCUSSION

Only a number of previous studies have reported on Todani type II choledochal cyst due to the extreme rarity of the disease. The largest study was done by Ouaissi et al. [6], which consisted of 19 patients diagnosed with type II choledochal cyst in multiple centers across Europe. Liu et al. [7] described a 4-year-old asymptomatic female who was incidentally diagnosed with type II choledochal cyst. Yamashita et al. [8] discussed a 58-year-old male who showed jaundice and was found to have duodenal papilla carcinoma along with type II choledochal cyst. Kono et al. [9] reported on a 40-year-old female who presented with abdominal pain and was diagnosed with type II choledochal cyst associated with pancreaticobiliary maljunction. According to these studies, the clinical presentation of patients with type II choledochal cyst can vary, including abdominal pain, jaundice, pancreatitis, cholangitis, and synchronous cancer [10]. Considerations for differential diagnoses are duodenal diverticulum, pancreatic pseudocysts, pancreatic cystic tumors, impacted gallstone, cholangiocarcinoma, biliary stricture, or gallbladder duplication [11]. Simple resection of the diverticulum is considered as the standard treatment for type II choledochal cyst, although complete surgical excision of the involved portion of the extrahepatic bile duct resection is required in a significant number of patients [12, 13]. The patient discussed in our particular case was initially admitted to the hospital at 11 months due to esophageal varices, though after esophageal band ligation, there were no remaining signs of active bleeding. This allowed for consideration of surgical resection of the choledochal cyst at 13 months of age. Long-term prognosis of type II choledochal cyst patients who received early total resection is reported to be excellent [14].

Notes

Conflict of Interest:No potential conflict of interest relevant to this article was reported.

Author Contributions:

  • Conceptualization: K.H.Y.

  • Data curation: K.J., K.D.

  • Formal analysis: K.J., H.J.W.

  • Methodology: K.D.

  • Supervision: H.J.W., K.H.Y.

  • Visualization: K.J.

  • Writing - original draft: K.J.

References

    1. Kasai M, Asakura Y, Taira Y. Surgical treatment of choledochal cyst. Ann Surg 1970;172:844–851.
    1. Lipsett PA, Pitt HA. Surgical treatment of choledochal cysts. J Hepatobiliary Pancreat Surg 2003;10:352–359.
    1. Alonso-Lej F, Rever WB Jr, Pessagno DJ. Congenital choledochal cyst, with a report of 2, and an analysis of 94, cases. Int Abstr Surg 1959;108:1–30.
    1. Todani T, Watanabe Y, Narusue M, Tabuchi K, Okajima K. Congenital bile duct cysts: classification, operative procedures, and review of thirty-seven cases including cancer arising from choledochal cyst. Am J Surg 1977;134:263–269.
    1. Söreide K, Körner H, Havnen J, Söreide JA. Bile duct cysts in adults. Br J Surg 2004;91:1538–1548.
    1. Ouaïssi M, Kianmanesh R, Belghiti J, Ragot E, Mentha G, Adham M, et al. Todani type II congenital bile duct cyst: European multicenter study of the French Surgical Association and literature review. Ann Surg 2015;262:130–138.
    1. Liu DC, Rodriguez JA, Meric F, Geiger JL. Laparoscopic excision of a rare type II choledochal cyst: case report and review of the literature. J Pediatr Surg 2000;35:1117–1119.
    1. Yamashita H, Otani T, Shioiri T, Takayama T, Kakiuchi C, Todani T, et al. Smallest Todani's type II choledochal cyst. Dig Liver Dis 2003;35:498–502.
    1. Kono H, Ohtsuka T, Fujino M, Ideno N, Aso T, Nagasyoshi Y, et al. Type II congenital biliary dilation (biliary diverticulum) with pancreaticobiliary maljunction successfully treated by laparoscopic surgery: report of a case. Clin J Gastroenterol 2012;5:88–92.
    1. Moslim MA, Takahashi H, Seifarth FG, Walsh RM, Morris-Stiff G. Choledochal cyst disease in a Western Center: a 30-year experience. J Gastrointest Surg 2016;20:1453–1463.
    1. Rozel C, Garel L, Rypens F, Viremouneix L, Lapierre C, Décarie JC, et al. Imaging of biliary disorders in children. Pediatr Radiol 2011;41:208–220.
    1. López-Marcano A, de la Plaza-Llamas R, Ramia JM, Al-Shwely F, Gonzales-Aguilar J, Medina Velasco A. Laparoscopic approach to the treatment of type II choledocal cysts. Gastroenterol Hepatol 2017;40:678–680.
    1. Ten Hove A, de Kleine RH, Nijkamp MW, Gouw AS, Koopman T, Klaase JM. Robot-assisted laparoscopic resection of a Todani type II choledochal malformation. Case Rep Gastroenterol 2019;13:230–237.
    1. Ono S, Fumino S, Shimadera S, Iwai N. Long-term outcomes after hepaticojejunostomy for choledochal cyst: a 10- to 27-year follow-up. J Pediatr Surg 2010;45:376–378.

Download Citation

Download a citation file in RIS format that can be imported by all major citation management software, including EndNote, ProCite, RefWorks, and Reference Manager.

Format:

Include:

Case Report of Todani Type II Choledochal Cyst in a 13-Month-Old Female Patient
Adv Pediatr Surg. 2020;26(1):33-37.
Download Citation

Download a citation file in RIS format that can be imported by all major citation management software, including EndNote, ProCite, RefWorks, and Reference Manager.

Format:
Include:
Case Report of Todani Type II Choledochal Cyst in a 13-Month-Old Female Patient
Adv Pediatr Surg. 2020;26(1):33-37.
Close