Skip to main navigation Skip to main content
  • KAPS
  • E-Submission

APS : Advances in Pediatric Surgery

OPEN ACCESS
ABOUT
BROWSE ARTICLES
EDITORIAL POLICY
FOR CONTRIBUTORS
Case Report

Biliary Pseudolithiasis in Children: To Avoid Unnecessary Surgical Procedure

Journal of the Korean Association of Pediatric Surgeons 2014;20(2):62-64.
Published online: December 30, 2014

1Division of Pediatric Surgery, Department of Surgery, The Catholic University of Korea, Seoul St. Mary's Hospital, Seoul, Korea.

2Department of Diagnostic Radiology, The Catholic University of Korea, Seoul St. Mary's Hospital, Seoul, Korea.

Correspondence: Myung Duk Lee, Division of Pediatric Surgery, Department of Surgery, The Catholic University of Korea, Seoul St. Mary's Hospital, 222, Banpo-daero, Seocho-gu, Seoul 137-701, Korea. Tel: +82-2-2258-6092, Fax: +82-2-595-2822, myungdlee@gmail.com
• Received: September 12, 2014   • Revised: November 3, 2014   • Accepted: November 11, 2014

Copyright © 2014 by the Korean Association of Pediatric Surgeons

This is an Open Access article distributed under the terms of the Creative Commons Attribution Non-Commercial License (http://creativecommons.org/licenses/by-nc/3.0/) which permits unrestricted non-commercial use, distribution, and reproduction in any medium, provided the original work is properly cited.

  • 184 Views
  • 0 Download
prev next
  • Gallbladder stones in children are not common without underlying hemolytic diseases or other risk factors like obesity. Ceftriaxone, a third generation cephalosporin, is known to make biliary precipitations that can be mistaken for biliary stones. We here report two children with biliary pseudolithiasis with different treatment modalities. One child was mistaken for symptomatic gallbladder stones and underwent elective laparoscopic cholecystectomy, while the other child, after thorough history taking on the ceftriaxone medication, was suspected of biliary pseudolithiasis and was treated conservatively. Both children had the history of usage of ceftriaxone in previous hospitals for infectious diseases. The ceftriaxone history of the first child was missed before the surgery. When gallbladder stones are found in children without any underlying diseases, specific history taking of the usage of ceftriaxone seems to be absolutely required. In this case, immediate interruption of the antibiotic could resolve the episode and avoid unnecessary surgical procedure.

No potential conflict of interest relevant to this article was reported.

  • 1. Miltenburg DM, Schaffer R 3rd, Breslin T, Brandt ML. Changing indications for pediatric cholecystectomy. Pediatrics 2000;105:1250-1253.
  • 2. Walker SK, Maki AC, Cannon RM, Foley DS, Wilson KM, Galganski LA, et al. Etiology and incidence of pediatric gallbladder disease. Surgery 2013;154:927-931.
  • 3. Mehta S, Lopez ME, Chumpitazi BP, Mazziotti MV, Brandt ML, Fishman DS. Clinical characteristics and risk factors for symptomatic pediatric gallbladder disease. Pediatrics 2012;129:e82-e88.
  • 4. Richards DM, Heel RC, Brogden RN, Speight TM, Avery GS. Ceftriaxone. A review of its antibacterial activity, pharmacological properties and therapeutic use. Drugs 1984;27:469-527.
  • 5. Schaad UB, Wedgwood-Krucko J, Tschaeppeler H. Reversible ceftriaxone-associated biliary pseudolithiasis in children. Lancet 1988;2:1411-1413.
  • 6. Schaad UB, Tschäppeler H, Lentze MJ. Transient formation of precipitations in the gallbladder associated with ceftriaxone therapy. Pediatr Infect Dis 1986;5:708-710.
  • 7. Shiffman ML, Keith FB, Moore EW. Pathogenesis of ceftriaxone-associated biliary sludge. In vitro studies of calcium-ceftriaxone binding and solubility. Gastroenterology 1990;99:1772-1778.
  • 8. Palanduz A, Yalcin I, Tonguç E, Güler N, Oneş U, Salman N, et al. Sonographic assessment of ceftriaxone-associated biliary pseudolithiasis in children. J Clin Ultrasound 2000;28:166-168.
  • 9. Biner B, Oner N, Celtik C, Bostancioğlu M, Tunçbilek N, Güzel A, et al. Ceftriaxone-associated biliary pseudolithiasis in children. J Clin Ultrasound 2006;34:217-222.
Fig. 1
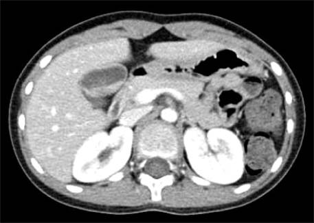
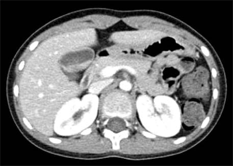
CT shows multiple gallbladder stones (case 1).
jkaps-20-62-g001.jpg
Fig. 2
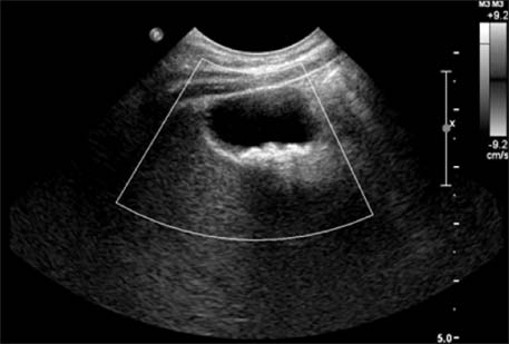
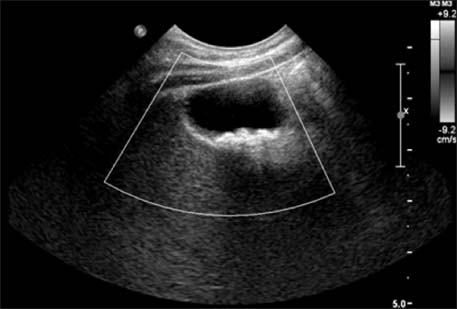
Ultrasonography performed at the emergency room shows multiple gallbladder sandy stones with sludge (case 2).
jkaps-20-62-g002.jpg
Fig. 3
Ultrasonography after 6 weeks of conservative treatment shows the disappearance of previous gallbladder stones (case 2).
jkaps-20-62-g003.jpg

Download Citation

Download a citation file in RIS format that can be imported by all major citation management software, including EndNote, ProCite, RefWorks, and Reference Manager.

Format:

Include:

Biliary Pseudolithiasis in Children: To Avoid Unnecessary Surgical Procedure
J Korean Assoc Pediatr Surg. 2014;20(2):62-64.   Published online December 30, 2014
Download Citation

Download a citation file in RIS format that can be imported by all major citation management software, including EndNote, ProCite, RefWorks, and Reference Manager.

Format:
Include:
Biliary Pseudolithiasis in Children: To Avoid Unnecessary Surgical Procedure
J Korean Assoc Pediatr Surg. 2014;20(2):62-64.   Published online December 30, 2014
Close

Figure

  • 0
  • 1
  • 2
Biliary Pseudolithiasis in Children: To Avoid Unnecessary Surgical Procedure
Image Image Image
Fig. 1 CT shows multiple gallbladder stones (case 1).
Fig. 2 Ultrasonography performed at the emergency room shows multiple gallbladder sandy stones with sludge (case 2).
Fig. 3 Ultrasonography after 6 weeks of conservative treatment shows the disappearance of previous gallbladder stones (case 2).
Biliary Pseudolithiasis in Children: To Avoid Unnecessary Surgical Procedure