Skip to main navigation Skip to main content
  • KAPS
  • E-Submission

APS : Advances in Pediatric Surgery

OPEN ACCESS
ABOUT
BROWSE ARTICLES
EDITORIAL POLICY
FOR CONTRIBUTORS
Case Report

Incomplete Removal of Totally Implantable Venous Devices : Report of 2 Cases

Journal of the Korean Association of Pediatric Surgeons 2012;18(1):18-23.
Published online: June 30, 2012

Department of Pediatric Surgery, Seoul National University Children's Hospital, Seoul National University College of Medicine, Seoul, Korea.

1Department of Pediatric Thoracic and Cardiovascular Surgery, Seoul National University Children's Hospital, Seoul National University College of Medicine, Seoul, Korea.

Correspondence: Sung-Eun Jung, M.D. Division of Pediatric Surgery, Seoul National University College of Medicine, 101 Daehang-ro, Chongno-gu, Seoul 110-744, Korea. Tel: 02)2072-2927, Fax: 02)747-5130, sejung@snu.ac.kr
• Received: April 15, 2012   • Accepted: October 12, 2012

Copyright © 2012 Korean Association of Pediatric Surgeons

  • 94 Views
  • 0 Download
prev next
  • 1. Fratino G, Molinari AC, Parodi S, Longo S, Saracco P, Castagnola E, Haupt R. Central venous catheter-related complications in children with oncological/hematological diseases: an observational study of 418 devices. Ann Oncol. 2005. 16:648-654.
  • 2. Kock HJ, Pietsch M, Krause U, Wilke H, Eigler FW. Implantable vascular access systems: experience in 1500 patients with totally implanted central venous port systems. World J Surg. 1998. 22:12-16.
  • 3. Bautista F, Gomez-Chacon J, Costa E, Moreno L, Cañete A, Muro MD, Velazquez J, Castel V. Retained intravascular fragments after removal of indwelling central venous catheters: a single institution experience. J Pediatr Surg. 2010. 45:1491-1495.
  • 4. Suojanen J, Brophy D, Nasser I. Thrombus on indwelling central venous catheters: the histopathology of "fibrin sheaths". Cardiovasc Intervent Radiol. 2000. 23:194-197.
  • 5. Aitken DR, Minton JP. The "pinch-off sign": a warning of impending problems with permanent subclavian catheters. Am J Surg. 1984. 148:633-636.
  • 6. Hinke DH, Zandt-Stastny DA, Goodman LR, Quebbeman EJ, Krzywda EA, Andris DA. Pinch- off syndrome: a complication of implantable subclavian venous access devices. Radiology. 1990. 177:353-356.
  • 7. Klotz HP, Schopke W, Kohler A, Pestalozzi B, Largiader F. Catheter fracture: A rare complication of totally implantable subclavian venous access device. J Surg Oncol. 1996. 62:222-225.
  • 8. Groebli Y, Wuthrich R, Tschantz P, Beguelin P, Piguet D. A rare complication of permanent venous access: constriction, fracture and embolization of the catheter. Swiss Surg. 1998. 4:141-145.
  • 9. Andrews RE, Tulloh RM, Rigby ML. Percutaneous retrieval of central venous catheter fragments. Arch Dis Child. 2002. 87:149-150.
  • 10. Van Den Akker-Berman LM, Pinzur S, Aydinalp A, Brezins M, Gellerman M, Elami A, Roguin N. Uneventful 25-year course of an intracardiac intravenous catheter fragment in the right heart. J Interv Cardiol. 2002. 15:421-423.
  • 11. Hassan A, Khalifa M, Al-Akraa M, Lord R, Davenport A. Six cases of retained central venous hemodialysis access catheters. Nephrol Dial Transplant. 2006. 21:2005-2008.
Fig. 1-A
Remained TIVD with vegetation within RA after TIVD removal operation on echocardiogram
jkaps-18-18-g001.jpg
Fig. 1-B
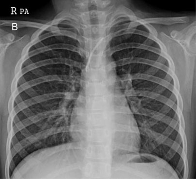
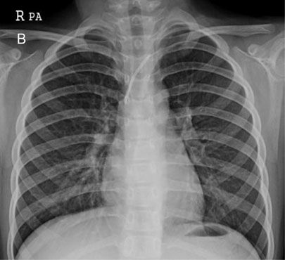
TIVD inserted through Rt. SCV before a removal operation
jkaps-18-18-g002.jpg
Fig. 1-C
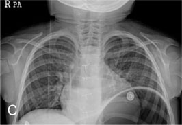
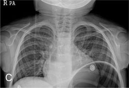
Incomplete removed TIVD
jkaps-18-18-g003.jpg
Fig. 2-A
TIVD inserted through left IJV before a removal operation.
jkaps-18-18-g004.jpg
Fig. 2-B
Remained TIVD after the operation
jkaps-18-18-g005.jpg

Download Citation

Download a citation file in RIS format that can be imported by all major citation management software, including EndNote, ProCite, RefWorks, and Reference Manager.

Format:

Include:

Incomplete Removal of Totally Implantable Venous Devices : Report of 2 Cases
J Korean Assoc Pediatr Surg. 2012;18(1):18-23.   Published online June 30, 2012
Download Citation

Download a citation file in RIS format that can be imported by all major citation management software, including EndNote, ProCite, RefWorks, and Reference Manager.

Format:
Include:
Incomplete Removal of Totally Implantable Venous Devices : Report of 2 Cases
J Korean Assoc Pediatr Surg. 2012;18(1):18-23.   Published online June 30, 2012
Close

Figure

  • 0
  • 1
  • 2
  • 3
  • 4
Incomplete Removal of Totally Implantable Venous Devices : Report of 2 Cases
Image Image Image Image Image
Fig. 1-A Remained TIVD with vegetation within RA after TIVD removal operation on echocardiogram
Fig. 1-B TIVD inserted through Rt. SCV before a removal operation
Fig. 1-C Incomplete removed TIVD
Fig. 2-A TIVD inserted through left IJV before a removal operation.
Fig. 2-B Remained TIVD after the operation
Incomplete Removal of Totally Implantable Venous Devices : Report of 2 Cases