Skip to main navigation Skip to main content
  • KAPS
  • E-Submission

APS : Advances in Pediatric Surgery

OPEN ACCESS
ABOUT
BROWSE ARTICLES
EDITORIAL POLICY
FOR CONTRIBUTORS
Case Report

A Case of Pediatric Nodal Marginal Zone Lymphoma

Journal of the Korean Association of Pediatric Surgeons 2016;22(2):59-62.
Published online: December 22, 2016

Department of Pediatric Surgery, Seoul National University Children’s Hospital, Seoul, Korea

Correspondence: Hyun-Young Kim, Department of Pediatric Surgery, Seoul National University Children’s Hospital, 101 Daehak-ro, Jongno-gu, Seoul 03080, Korea. Tel: +82-2-2072-2478, Fax: +82-2-747-5130, E-mail: spkhy02@snu.ac.kr
• Received: July 21, 2016   • Revised: October 18, 2016   • Accepted: October 18, 2016

Copyright © 2016 Korean Association of Pediatric Surgeons

This is an Open Access article distributed under the terms of the Creative Commons Attribution Non-Commercial License (http://creativecommons.org/licenses/by-nc/4.0/) which permits unrestricted non-commercial use, distribution, and reproduction in any medium, provided the original work is properly cited.

  • 269 Views
  • 0 Download
prev
  • Lymph node enlargement is a common finding in children suggesting normal or benign. Palpable nodes which are large, hard or fixed must be examined carefully to rule out malignant diseases. In this case, a 15-year-old boy presented to our hospital to inspect the palpable mass at his post-auricular area being found 2 months ago. It was diagnosed as nodal marginal zone lymphoma (NMZL) through excisional biopsy and immunohistochemistry. NMZL is very rare, especially in children and young adults, but occurs locally in most cases with a good prognosis compared to adults. We described a rare case of NMZL diagnosed in adolescent.
Fig. 1.
A palpable, fixed 3×2-cm-sized mass positioning at the left posterior auricular area (arrowheads).
jkaps-2016-22-2-59f1.jpg
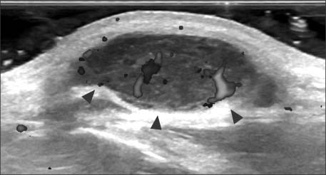
Fig. 2.
Ultrasonographic image showing a hypoechoic lobulated mass, with 2.2×2.4×0.8 cm size and inner vascularity (arrowheads).
jkaps-2016-22-2-59f2.jpg
Fig. 3.
Immunophenotypic features of excised mass. (A) H&E stain (×40) showing a gross lymphoid tissue with effaced normal follicular architectures suggesting neoplastic rather than reactive condition. (B) With a few normal germinal centers left, it was mostly filled with diffusely grown small to medium-sized atypical cells (H&E stain, ×200). These cells were positive in CD20 (B lymphocyte antigen; C) and Bcl-2 (F) but negative in CD10 (D) and Bcl-6 (E) (C-F: ×40).
jkaps-2016-22-2-59f3.jpg
  • 1. Ataş E, Kesik V, Fidancı MK, Kısmet E, Köseoğlu V. Evaluation of children with lympadenopathy. Turk Pediatri Ars 2014;49:30-35.
  • 2. Park YW. Evaluation of neck masses in children. Am Fam Physician 1995;51:1904-1912.
  • 3. Gosche JR, Vick L. Acute, subacute, and chronic cervical lymphadenitis in children. Semin Pediatr Surg 2006;15:99-106.
  • 4. Friedmann AM. Evaluation and management of lymphadenopathy in children. Pediatr Rev 2008;29:53-60.
  • 5. Quintanilla-Martinez L, Sander B, Chan JK, Xerri L, Ott G, Campo E, et al. Indolent lymphomas in the pediatric population: follicular lymphoma, IRF4/MUM1+ lymphoma, nodal marginal zone lymphoma and chronic lymphocytic leukemia. Virchows Arch 2016;468:141-157.
  • 6. Angelopoulou MK, Kalpadakis C, Pangalis GA, Kyrtsonis MC, Vassilakopoulos TP. Nodal marginal zone lymphoma. Leuk Lymphoma 2014;55:1240-1250.
  • 7. Taddesse-Heath L, Pittaluga S, Sorbara L, Bussey M, Raffeld M, Jaffe ES. Marginal zone B-cell lymphoma in children and young adults. Am J Surg Pathol 2003;27:522-531.
  • 8. Petit B, Chaury MP, Le Clorennec C, Jaccard A, Gachard N, Moalic-Judge S, et al. Indolent lymphoplasmacytic and marginal zone B-cell lymphomas: absence of both IRF4 and Ki67 expression identifies a better prognosis subgroup. Haematologica 2005;90:200-206.
  • 9. van den Brand M, van Krieken JH. Recognizing nodal marginal zone lymphoma: recent advances and pitfalls. A systematic review. Haematologica 2013;98:1003-1013.
  • 10. Au WY, Ma SY, Chim CS, Choy C, Loong F, Lie AK, et al. Clinicopathologic features and treatment outcome of mature T-cell and natural killer-cell lymphomas diagnosed according to the World Health Organization classification scheme: a single center experience of 10 years. Ann Oncol 2005;16:206-214.

Download Citation

Download a citation file in RIS format that can be imported by all major citation management software, including EndNote, ProCite, RefWorks, and Reference Manager.

Format:

Include:

A Case of Pediatric Nodal Marginal Zone Lymphoma
J Korean Assoc Pediatr Surg. 2016;22(2):59-62.   Published online December 22, 2016
Download Citation

Download a citation file in RIS format that can be imported by all major citation management software, including EndNote, ProCite, RefWorks, and Reference Manager.

Format:
Include:
A Case of Pediatric Nodal Marginal Zone Lymphoma
J Korean Assoc Pediatr Surg. 2016;22(2):59-62.   Published online December 22, 2016
Close

Figure

  • 0
  • 1
  • 2
A Case of Pediatric Nodal Marginal Zone Lymphoma
Image Image Image
Fig. 1. A palpable, fixed 3×2-cm-sized mass positioning at the left posterior auricular area (arrowheads).
Fig. 2. Ultrasonographic image showing a hypoechoic lobulated mass, with 2.2×2.4×0.8 cm size and inner vascularity (arrowheads).
Fig. 3. Immunophenotypic features of excised mass. (A) H&E stain (×40) showing a gross lymphoid tissue with effaced normal follicular architectures suggesting neoplastic rather than reactive condition. (B) With a few normal germinal centers left, it was mostly filled with diffusely grown small to medium-sized atypical cells (H&E stain, ×200). These cells were positive in CD20 (B lymphocyte antigen; C) and Bcl-2 (F) but negative in CD10 (D) and Bcl-6 (E) (C-F: ×40).
A Case of Pediatric Nodal Marginal Zone Lymphoma