Skip to main navigation Skip to main content
  • KAPS
  • E-Submission

APS : Advances in Pediatric Surgery

OPEN ACCESS
ABOUT
BROWSE ARTICLES
EDITORIAL POLICY
FOR CONTRIBUTORS
Case Report

A Case of An Incidentally Diagnosed Adrenal Venous Malformation in A Child

Yoon-Jung Boo, M.D.1, Eun-Hee Lee, M.D.2, Kwang-Chul Lee, M.D.2, Nam-Hee Won, M.D.3
Journal of the Korean Association of Pediatric Surgeons 2013;19(2):140-144.
Published online: December 24, 2013

1Division of Pediatric Surgery, Department of Surgery, Korea University College of Medicine, Seoul, Korea.

2Department of Pediatrics, Korea University College of Medicine, Seoul, Korea.

3Department of Pathology, Korea University College of Medicine, Seoul, Korea.

Correspondence: Yoon-Jung Boo, M.D., Division of Pediatric Surgery, Korea University College of Medicine, Inchonro 73, Sungbuk-gu, Seoul 136-705, Korea. Tel: 02)920-6844, Fax: 02)928-1631, drboo@korea.ac.kr
• Received: July 31, 2013   • Accepted: October 24, 2013

Copyright © 2013 Korean Association of Pediatric Surgeons

  • 158 Views
  • 0 Download
prev next
  • Adrenal venous malformation is an uncommon disease. We report a case of an incidentally diagnosed adrenal cystic mass during an evaluation for gastritis in a child. A 14-year-old girl admitted to our pediatric department for epigastric pain. After the gastroscopy, she was diagnosed with hemorrhagic gastritis. A 5.5 cm-sized cystic mass was incidentally found adjacent to her left adrenal gland during an ultrasound examination for evaluating her abdominal symptoms. She underwent laparoscopic surgery for the diagnosis and treatment of this cystic mass, which was confirmed to be venous malformation at pathologic diagnosis.
  • 1. Kim TH, Kwak JJ, Rha SH, Yoon JH, Cho WY. Adrenal carvernous hemangioma. Korean J Urol 2008;49:277-279.
  • 2. Kim BI, Yoe WC, Lee GS, Lim HS, Hong JM, You KJ, Kim MJ, Byun DI, Lee JG, Kwon GH, Lee SN. A case of giant cavernous hemangioma of the adrenal gland. Korean J Med 2000;59:310-313.
  • 3. Bruder E, Perez-Atayde AR, Jundt G, Alomari AI, Rischewski J, Fishman SJ, Mulliken JB, Kozakewich HP. Vascular lesions of bone in children, adolescents, and young adults. A clinicopathologic reappraisal and application of the ISSVA classification. Virchows Archiv 2009;454:161-179.
  • 4. Matsuda D, Iwamura M, Baba S. Cavernous hemangioma of the adrenal gland. Int J Urol 2009;16:424.
  • 5. Heis HA, Bani-Hani KE, Bani-Hani BK. Adrenal cavernous haemangioma. Singapore Med J 2008;49:e236-e237.
  • 6. Hirai K, Takeuchi S, Bessho R, Ohaki Y, Koizumi K, Shimizu K. Venous hemangioma of the anterior mediastinum. J Nippon Med Sch 2010;77:115-118.
  • 7. Kobayashi H, Kaneko G, Uchida A. Retroperitoneal venous hemangioma. Int J Urol 2010;17:585-586.
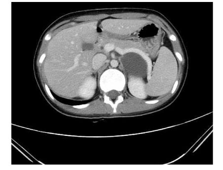
Fig. 1
Abdominal computed tomography (CT) scan revealed a cystic mass without any septum originated on the left adrenal gland.
jkaps-19-140-g001.jpg
Fig. 2
Laparoscopic view of the lesion during the operation shows a well-demarcated cystic mass containing with mild bluish-colored fluid inside.
jkaps-19-140-g002.jpg
Fig. 3
Immunohistochemical stain with the specimen, the tumor formed a thrombus in the inner cavity and consisted of a dilated venous structure with a positive stain for CD34 (a marker for blood vessels) and a negative stain for D2 40 (a marker for lymphatics. A) CD34, B) D2 40, C) Elastin, D) Masson trichrome stain.
jkaps-19-140-g003.jpg

Download Citation

Download a citation file in RIS format that can be imported by all major citation management software, including EndNote, ProCite, RefWorks, and Reference Manager.

Format:

Include:

A Case of An Incidentally Diagnosed Adrenal Venous Malformation in A Child
J Korean Assoc Pediatr Surg. 2013;19(2):140-144.   Published online December 24, 2013
Download Citation

Download a citation file in RIS format that can be imported by all major citation management software, including EndNote, ProCite, RefWorks, and Reference Manager.

Format:
Include:
A Case of An Incidentally Diagnosed Adrenal Venous Malformation in A Child
J Korean Assoc Pediatr Surg. 2013;19(2):140-144.   Published online December 24, 2013
Close

Figure

  • 0
  • 1
  • 2
A Case of An Incidentally Diagnosed Adrenal Venous Malformation in A Child
Image Image Image
Fig. 1 Abdominal computed tomography (CT) scan revealed a cystic mass without any septum originated on the left adrenal gland.
Fig. 2 Laparoscopic view of the lesion during the operation shows a well-demarcated cystic mass containing with mild bluish-colored fluid inside.
Fig. 3 Immunohistochemical stain with the specimen, the tumor formed a thrombus in the inner cavity and consisted of a dilated venous structure with a positive stain for CD34 (a marker for blood vessels) and a negative stain for D2 40 (a marker for lymphatics. A) CD34, B) D2 40, C) Elastin, D) Masson trichrome stain.
A Case of An Incidentally Diagnosed Adrenal Venous Malformation in A Child