Skip to main navigation Skip to main content
  • KAPS
  • E-Submission

APS : Advances in Pediatric Surgery

OPEN ACCESS
ABOUT
BROWSE ARTICLES
EDITORIAL POLICY
FOR CONTRIBUTORS
Case Report

Periappendiceal Actinomycosis Presenting as Acute Appendicitis

Journal of the Korean Association of Pediatric Surgeons 2015;21(1):7-10.
Published online: June 24, 2015

1Department of Pediatric Surgery, Seoul National University Children's Hospital, Seoul, Korea.

2Department of Pediatrics, Seoul National University Children's Hospital, Seoul, Korea.

Correspondence: Hyun-Young Kim, Department of Pediatric Surgery, Seoul National University Children's Hospital, 101 Daehak-ro, Jongno-gu, Seoul 110-744, Korea. Tel: +82-2-2072-2478, Fax: +82-2-747-5130, spkhy02@snu.ac.kr
• Received: November 11, 2014   • Revised: January 23, 2015   • Accepted: March 9, 2015

Copyright © 2015 by the Korean Association of Pediatric Surgeons

This is an Open Access article distributed under the terms of the Creative Commons Attribution Non-Commercial License (https://creativecommons.org/licenses/by-nc/4.0/) which permits unrestricted non-commercial use, distribution, and reproduction in any medium, provided the original work is properly cited.

  • 456 Views
  • 0 Download
  • 2 Crossref
prev next
  • Abdominal actinomycosis is a rare and chronic progressive disease, especially in children. Clinically, it has non-specific symptoms and diagnostic findings as well as low prevalence, making it very difficult to diagnose prior to intraoperative pathological confirmation. For this reason, abdominal actinomycosis is commonly misdiagnosed as appendicitis. After the histopathological diagnosis of abdominal actinomycosis is made, patients should be administered an appropriate antibiotic such as penicillin. Here we describe a case of appendiceal actinomycosis in an 18-year-old girl who was initially diagnosed with acute appendicitis.
Actinomycosis is a relatively rare and chronic progressive suppurative disease that is mainly caused by Actinomyces israelii. A. israelii is an anaerobic Gram-positive organism that is normally present in the oral cavity as well as throughout the gastrointestinal tract, female genital tract, and the bronchus [1] that spreads by direct extension across the tissue planes with the formation of multiple abscesses, abundant granulation tissue, and draining sinuses [2]. Actinomycosis occurs most frequently in the cervical facial (50% to 65%), abdominal (20%), and thoracic (15%) regions [1].
Abdominal actinomycosis, the incidence of which has increased over the past few years [3], usually involves the vermiform appendix and terminal ileum [34]. Its clinical symptoms are non-specific and include abdominal pain, fever, nausea, vomiting, and diarrhea [3]. If the appendix ruptures, right-sided pain and other symptoms of appendicitis can develop [345]. A combination of antibiotics and surgical intervention is the treatment of choice for abdominal actinomycosis [6].
Here we describe an 18-year-old girl who underwent a laparoscopic exploration for acute appendicitis and was diagnosed with appendiceal actinomycosis upon histopathological examination.
An 18-year-old girl who had a 4-day history of right lower abdominal pain visited at a nearby hospital, and she had undergone laparoscopic exploration for a presumed diagnosis of acute appendicitis. At that hospital, an unexpected mass-like lesion beneath the cecum in the right lower quadrant (RLQ) was found, and she was transferred to our hospital for further evaluation.
Physical examination revealed tenderness in the RLQ and no rebound pain. There were no associated symptoms such as fever, loss of appetite, nausea or vomiting, or diarrhea. She had no relevant past or family history.
Laboratory findings included mild leukocytosis (11,760/µL; neutrophils 79.7%, eosinophils 0.8%) and an elevated C-reactive protein level (3.09 mg/dL).
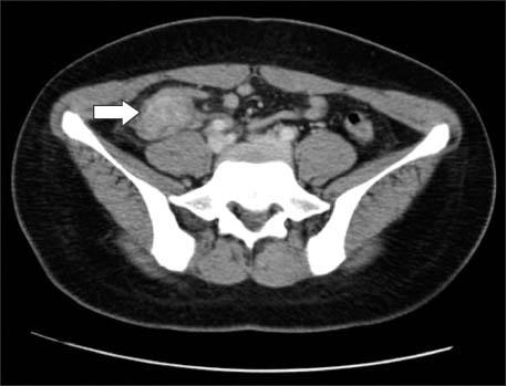
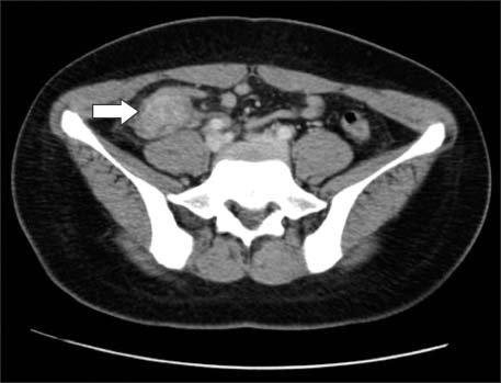
A contrast-enhanced abdominal CT scan revealed a 4.3×2.3 cm mass-like lesion beneath the cecum in the RLQ and an invisible normal appendix (Fig. 1).
From these findings, acute appendicitis with a peritoneal abscess was primarily diagnosed and a laparoscopic exploration was planned.
Operative findings showed a 3×3 cm appendiceal mass with dense severe adhesions (Fig. 2A, B) for which we performed an ileocecectomy.
Gross pathology revealed severe inflammation and adhesion between the appendix and the adjacent appendiceal serosal surface. Irregular nodularity was seen in the distal portion of the ileal mucosal area, while intraluminal obliteration was found due to the severe inflammation (Fig. 3A).
Light microscopic examination revealed acute suppurative appendicitis with a periappendiceal abscess and actinomycotic colonies. At higher magnification, a typical sulfur granule surrounded by neutrophils was found that was confirmed as appendiceal actinomycosis (Fig. 3B, C).
After the operation, she was administered intravenous antibiotics (cefotaxime, metronidazole, piperacillin/tazobactam) for 20 days and then oral amoxicillin 1 g three times a day for at least 3 months.
Abdominal actinomycosis is a rare and insidious disease [78]. The overall incidence of actinomycosis is virtually impossible to ascertain since failure to consider it as a diagnosis and difficulty confirming it lead to under-reporting [9]. Approximately 65% of abdominal actinomycosis cases occur in association with acute appendicitis [10].
The symptoms, signs, and laboratory findings of abdominal actinomycosis are nonspecific, while its radiologic findings often show a poorly defined mass with irregular margins [11]. As such, its diagnosis is often delayed. Only 10% of cases are diagnosed preoperatively, and it is difficult to differentiate abdominal actinomycosis from a malignant tumor or appendicitis [7].
The differential diagnosis of abdominal actinomycosis should include Crohn's disease, ulcerative colitis, diverticulitis, neoplasms, and intestinal tuberculosis [811]. The definitive diagnosis of actinomycosis requires microscopic proof of either the pathogen itself or the presence of specific "sulfur granules" [8].
Tissue sampling and a histologic examination are important to ensuring a correct diagnosis, but the former is not always possible for two reasons. First, the clinical presentation of the disease may be acute or the sample may be unobtainable using percutaneous methods. Second, Actinomyces is a Gram-positive, slow-growing, non-acid-fast, anaerobic, and filamentous bacterium that requires specific incubation in special culture medium for at least 7 days [1]. Accordingly, culture results are negative in 76% of cases [12] and excision biopsy for histopathological examination is frequently needed [1].
The combined use of surgery and penicillin therapy has a reported cure rate of 88.8% [13]. Antibiotic therapy is useful for preventing the local recurrence of actinomycosis. Penicillin in particular has been shown to be effective in treating abdominal actinomycosis. Other commonly used antibiotics include tetracycline, erythromycin, doxycycline, clindamycin, imipenem, ceftriaxone, and ciprofloxacin [7].
A combination of long-term antibiotic therapy and adequate surgery is necessary to ensure the complete eradication of actinomycosis because of the large degree of reactive fibrosis formed by the infection [14]. However, recent studies have shown that a combination of complete surgical resection followed by short-term antibiotic treatment is effective [15].
Similarly, in this case, as the disease does not present with any typical features, either clinically or radiologically, the patient was initially diagnosed with appendicitis, and received laparoscopic exploration for a presumed diagnosis of acute appendicitis. The diagnosis was made after pathologic examination of the specimen, and then antibiotics were changed according to the pathologic results.
In summary, abdominal actinomycosis is difficult to diagnose preoperatively due to its atypical symptoms and imaging findings. However, since its accurate diagnosis is important to the prevention of unnecessary surgical treatment or to adequate antibiotic therapy, abdominal actinomycosis should be included as a differential diagnosis when an unusual abdominal mass or abscess presents on abdominal CT.

No potential conflict of interest relevant to this article was reported.

Dr. Eun-Hwa Choi, Sung-Eun Jung, and Hyun-Young Kim were made substantial contribution to this report.
  • 1. Acquaro P, Tagliabue F, Confalonieri G, Faccioli P, Costa M. Abdominal wall actinomycosis simulating a malignant neoplasm: Case report and review of the literature. World J Gastrointest Surg 2010;2:247-250.
  • 2. Sung HY, Lee IS, Kim SI, Jung SE, Kim SW, Kim SY, et al. Clinical features of abdominal actinomycosis: a 15-year experience of a single institute. J Korean Med Sci 2011;26:932-937.
  • 3. Bittencourt JA, Andreis EL, Lima EL, Dorn DE, Muller V. Actinomycosis simulating malignant large bowel obstruction. Braz J Infect Dis 2004;8:186-189.
  • 4. Luncă S, Romedea N. Actinomycosis of the appendix. Case report. Rev Med Chir Soc Med Nat Iasi 2004;108:640-643.
  • 5. Davies M, Keddie NC. Abdominal actinomycosis. Br J Surg 1973;60:18-22.
  • 6. Hayashi M, Asakuma M, Tsunemi S, Inoue Y, Shimizu T, Komeda K, et al. Surgical treatment for abdominal actinomycosis: a report of two cases. World J Gastrointest Surg 2010;2:405-408.
  • 7. Russo T. Agents of actinomycosis. In Mandell GL, Bennett JE, Dolin R, eds, ddPrinciples and practice of infectious diseases. 7th ed. New York: Churchill Livingstone; 2005, pp 2924-2934.
  • 8. Huang CJ, Huang TJ, Hsieh JS. Pseudo-colonic carcinoma caused by abdominal actinomycosis: report of two cases. Int J Colorectal Dis 2004;19:283-286.
  • 9. Garner JP, Macdonald M, Kumar PK. Abdominal actinomycosis. Int J Surg 2007;5:441-448.
  • 10. Liu V, Val S, Kang K, Velcek F. Case report: actinomycosis of the appendix--an unusual cause of acute appendicitis in children. J Pediatr Surg 2010;45:2050-2052.
  • 11. Abela J, Sciberras J, Meilak M, Felice AG, Degaetano J. Omental actinomycosis presenting with right lower quadrant abdominal pain. J Clin Pathol 2004;57:671.
  • 12. Sergent F, Marpeau L. Abdominopelvic actinomycosis: a tumoral syndrome due to bacterial infection. J Chir (Paris) 2004;141:150-156.
  • 13. Spickett GP, Kipping RA. Pelvic actinomycosis presenting with rectal stricture. J R Soc Med 1985;78:674-676.
  • 14. Atad J, Hallak M, Sharon A, Kitzes R, Kelner Y, Abramovici H. Pelvic actinomycosis. Is long-term antibiotic therapy necessary? J Reprod Med 1999;44:939-944.
  • 15. Koren R, Dekel Y, Ramadan E, Veltman V, Dreznik Z. Periappendiceal actinomycosis mimicking malignancy report of a case. Pathol Res Pract 2002;198:441-443.
Fig. 1
CT image shows a 4.3×2.3 cm mass-like lesion beneath the cecum within the right lower quadrant (arrow). This finding suggested differential diagnosis of advanced appendicitis with phlegmon or a tumorous condition.
jkaps-21-7-g001.jpg
Fig. 2
Intraoperative findings. (A) Laparoscopic appearance of appendiceal actinomycosis. (B) Gross appearance of appendiceal actinomycosis; a 7.0×4.0 cm appendiceal mass. Severe inflammation and adhesion between the appendix and the adjacent appendiceal serosal surface is visible.
jkaps-21-7-g002.jpg
Fig. 3
(A) Gross appearance of the excised specimen. (B) Pathological examination: Presence of Actinomyces israelii. Acute suppurative appendicitis with a periappendiceal abscess and actinomycotic colonies characterized by sulfur granules (H&E stain, ×40). (C) Pathological examination: Presence of A. israelii. Acute suppurative appendicitis with a periappendiceal abscess and actinomycotic colonies characterized by sulfur granules (H&E stain, ×200).
jkaps-21-7-g003.jpg

Download Citation

Download a citation file in RIS format that can be imported by all major citation management software, including EndNote, ProCite, RefWorks, and Reference Manager.

Format:

Include:

Periappendiceal Actinomycosis Presenting as Acute Appendicitis
J Korean Assoc Pediatr Surg. 2015;21(1):7-10.   Published online June 24, 2015
Download Citation

Download a citation file in RIS format that can be imported by all major citation management software, including EndNote, ProCite, RefWorks, and Reference Manager.

Format:
Include:
Periappendiceal Actinomycosis Presenting as Acute Appendicitis
J Korean Assoc Pediatr Surg. 2015;21(1):7-10.   Published online June 24, 2015
Close

Figure

  • 0
  • 1
  • 2
Periappendiceal Actinomycosis Presenting as Acute Appendicitis
Image Image Image
Fig. 1 CT image shows a 4.3×2.3 cm mass-like lesion beneath the cecum within the right lower quadrant (arrow). This finding suggested differential diagnosis of advanced appendicitis with phlegmon or a tumorous condition.
Fig. 2 Intraoperative findings. (A) Laparoscopic appearance of appendiceal actinomycosis. (B) Gross appearance of appendiceal actinomycosis; a 7.0×4.0 cm appendiceal mass. Severe inflammation and adhesion between the appendix and the adjacent appendiceal serosal surface is visible.
Fig. 3 (A) Gross appearance of the excised specimen. (B) Pathological examination: Presence of Actinomyces israelii. Acute suppurative appendicitis with a periappendiceal abscess and actinomycotic colonies characterized by sulfur granules (H&E stain, ×40). (C) Pathological examination: Presence of A. israelii. Acute suppurative appendicitis with a periappendiceal abscess and actinomycotic colonies characterized by sulfur granules (H&E stain, ×200).
Periappendiceal Actinomycosis Presenting as Acute Appendicitis